
インビザライン矯正をスムーズに進めて歯をちゃんと動かす為の重要ポイント7箇条 ~矯正期間を長引かせない為のコツ~
Column
コラム
こんにちは。デュランタデンタルクリニック栄歯科・矯正歯科の歯科衛生士の井尾です。
寒さがぐっと深まり、温かいブラックコーヒーが美味しい季節になりました☕️私もついつい手が伸びるこの一杯ですが、実は“歯の着色”が増える原因にもつながりやすい時期です。
「最近、歯が黄ばんできた気がする…」
「ホワイトニングしたのに、また色がついてきた…」
そんなお悩みを抱える方はとても多いです。実は、歯の色は“磨いているかどうか”だけではなく、普段の飲食物による着色(ステイン)の影響を大きく受けています。特に、色の濃い飲食物や酸性度の高い飲み物はステインが付着しやすく、その積み重ねで黄ばみや黒ずみの原因になってしまいます。
今回は、歯科医院でもよく質問される
「着色しやすい食べ物と飲み物ランキング」を、理由と対策も含めて分かりやすくご紹介します。

■ 1位:コーヒー(特にブラック)
着色の代表格といえばやはりコーヒーです。歯の表面にあるエナメル質には無数の小さな溝があり、コーヒーに含まれるクロロゲン、タンニンがそこに入り込むことで、時間をかけて黄ばみが濃くなっていきます。
特にブラックは濃度が高いため、ミルク入りよりも着色しやすい傾向があります。毎日数杯飲む人は、1〜2ヶ月で色の違いを実感するほどです。
■ 2位:紅茶・緑茶などのお茶全般
お茶に含まれる「カテキン」や「タンニン」もステインの原因となります。紅茶が特に着色しやすいですが、意外にも緑茶やほうじ茶でも黄ばみは起こります。
健康のために毎日飲む方が多い分、気づかないうちに色が定着してしまうケースがよくあります。
お茶の渋みが強いほど着色リスクが高いと覚えておくと良いでしょう。
■ 3位:赤ワイン
赤ワインは着色物質の宝庫。
・ポリフェノール
・タンニン
・酸
この3つがそろっているため、ステインが強力に付着します。
酸によってエナメル質が一時的に“弱く・ざらつく”状態になるため、余計に色素が入り込みやすくなります。「ワインを飲んだあとは歯がざらっとする」という感覚はまさにこの現象です。
■ 4位:カレー
カレーの黄色い色素「ターメリック(ウコン)」は、衣類に付くだけでなく歯にも付着します。
また、カレーはオイルを使って調理されるため、色素が歯の表面に“油膜として密着”しやすく、他の色の濃い食べ物を一緒に食べると、さらに着色が強くなるという特徴があります。
■ 5位:チョコレート・ココア
カカオにもポリフェノールが含まれているため、ステインが付きやすい食品です。特にココアは“液体”なので歯全体に広がりやすく、頻繁に飲むと着色が目立つことがあります。
■ 6位:ソース類(焼きそば・お好み焼きソースなど)
ソースには濃い色素が多く含まれており、歯の表面に残りやすい特徴があります。
焼肉のタレ、ウスターソース、バルサミコ酢なども同様で、粘度が高く、歯に絡みつく時間が長いため着色しやすくなります。
■ 7位:ベリー類(ブルーベリー・ブラックベリーなど)
自然の果物にも強い色素が含まれています。ブルーベリーが服につくと落ちにくいのと同じで、歯にも紫色の色素が付着します。健康のために食べる機会が多い方は、食べたあとに水を飲むなどの工夫で着色を軽減できます。
着色を完全に避けることは難しいですが、以下のような工夫でかなり軽減できます。
ステインを歯に定着させる前に流し落とすイメージです。
特にコーヒー・お茶・ワインのあとにおすすめです!
前歯に液体が直接触れにくくなるため、黄ばみ予防になります。アイスコーヒーや紅茶に効果的。
酸性の飲み物の直後はエナメル質がやわらかい状態。
20~30分ほど時間を空けてから磨くのがベストです。
研磨剤が強すぎるものを毎日使うと、歯の表面を傷つけて逆に着色しやすくなります。また、硬い歯ブラシでの強いブラッシング圧によっても毎日の積み重ねで、歯の表面を傷つけてしまいます。
医院推奨のものを使うのが安心です。
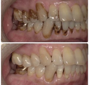
家庭のケアでは落とせない着色は、プロのクリーニングが効果的。
1回の施術で見た目がパッと明るくなることが多く、ホワイトニング前の下地作りにもなります。
当院では、従来のゴシゴシこする方法とは違い
細かいパウダーと水のスプレーで汚れをやさしく落とすエアフローを導入しています。

コーヒー・紅茶の着色やタバコのヤニ、ザラつきが気になる方におすすめです。
歯の表面を傷つけにくく、短時間でツルツルに仕上がります。
エアフローについての詳しい説明はこちらのコラムにてお話させてもらっています。
着色は決して「不健康だから」起きるわけではありません。むしろ、普段の飲み物や、健康のために選んでいる食品でも起こります。大切なのは、習慣に気づき、ちょっとした工夫で予防すること。
もし鏡を見て「前より黄ばんできた?」と思ったら、それは生活習慣のサインかもしれません。
定期的なクリーニングやホワイトニングを上手に組み合わせることで、明るく清潔感のある口元をキープできます。
着色が気になる方は、いつでも歯科医院に相談してみてくださいね。
この記事の監修者
デュランタデンタルクリニック栄歯科・矯正歯科
院長坂本 果歩
地元の大分県の大分県立大分上野ヶ丘高等学校卒業後、
愛知学院大学歯学部歯学科に進学、卒業しました。
その後、愛知学院大学附属病院での研修を経て、愛知県内の地域密着型の医院、都心型の医院で勤務することによりたくさんの治療のスキルを学びました。
歯周病治療に力をいれた、再治療の少ない治療を目指して口腔外科、インプラント、矯正などの幅広い診療も行っています。
学歴・経歴
2016年 愛知学院大学歯学部歯学科 卒業
2017年-2018年 愛知学院大学附属病院 勤務
2018年-2023年 愛知県内 歯科医院 勤務
2021年-2022年 藤田医科大学 口腔外科 研究生
2022年 名古屋市 歯科医院 分院長
2023年 デュランタデンタルクリニック栄歯科・矯正歯科開業
現在に至る
所属団体
日本臨床歯周病学会
日本口腔インプラント学会
愛知インプラントインスティチュート
日本抗加齢医学会
日本歯科医師会
愛知県歯科医師会